Your Reliable
Local Dentist in Fremantle
Looking for a reliable dentist in Fremantle? On Point Dental offers comprehensive dental care for the whole family, with skilled dentists, modern technology, and a focus on your comfort and oral health.





Experienced in Dental Implants
Our dental team has extensive training in dental implant placement and restoration, offering options that are designed to be functional and aesthetically pleasing.
HBF & NIB Preferred Provider
As a preferred provider for HBF and NIB, eligible members can access reduced gap payments and additional benefits. Terms and conditions apply.
Open 7 Days, Including Sundays
We understand dental concerns don’t follow a schedule, which is why we’re open seven days a week, including Sundays, to provide flexible appointment times.
WHO WE ARE
Welcome to On Point Dental Fremantle
Comprehensive Dental Care Under One Roof
Our experienced team offers a full range of dental services, from routine check-ups and preventive care to advanced restorative procedures and cosmetic dentistry. At our centrally located Fremantle clinic, you can receive all your dental care in one convenient place.
WHAT MAKES US DIFFERENT
Why Choose On Point Dental?
We focus on providing accessible, high-quality dental care, with the convenience and support you need to maintain your oral health and feel secure about your dental treatment.
Same-Day Emergency Appointments
Dental emergencies don't wait for convenient times. We prioritise urgent dental concerns by offering same-day appointments when you need prompt attention. Our team works to quickly accommodate emergency cases. We also offer FIFO-friendly scheduling options for workers with irregular rosters, so you can access dental care that fits your lifestyle and scheduling needs.
Latest Technology & Techniques
Our clinic uses current diagnostic tools and contemporary dental techniques to support accurate assessments and well-planned treatments. Digital imaging, scanning, and modern restorative methods help guide decision-making and enhance the efficiency of your appointments. These technologies enable our clinicians to monitor your oral health more effectively and provide clear explanations, helping you understand your treatment options with confidence.
All Treatments Done In-House
From routine check-ups and cleanings to complex procedures such as dental implants and veneers, we offer a comprehensive range of dental services at our clinic. This integrated approach means you can receive consistent care from familiar practitioners without needing referrals to multiple locations. Having all your dental treatments completed in-house offers convenience, continuity in your oral health management, and coordinated care across different procedures.
OUR SERVICES
Our Key Services
Dental implants are a long-term option for replacing missing teeth. We offer dental implants, which create a stable foundation for crowns, bridges, or dentures, designed to function like natural teeth with proper care.
Starting from $5,000
HBF Member Plus coverage available
Open 7 Days Including Sundays
Same-day appointments available
Complete Range of Dental Services
General Dentistry
Cosmetic Dentistry
Orthodontics
Restorative Dentistry
Preventative Dentistry
New Patient Special Offer
$299
Dental Package Available for New Patients: Complete Preventive Care Services in One Appointment
*New patients only. Cannot be combined with insurance claims.
See full terms and conditions.
YOUR FIRST VISIT
What to Expect When You Visit
On Point Dental
Schedule Your Visit
We Check: Teeth, gums, jaw joints, oral cancer screening, bite alignment, existing dental work
Fill Out Your Patient Forms
What to Bring: Health fund card, Medicare card (if applicable), list of current medications
Detailed Oral Assessment
We Check: Teeth, gums, jaw joints, oral cancer screening, bite alignment, existing dental work
Treatment Plan Discussion
Transparent Pricing: All costs explained upfront, payment plans available, health fund rebates calculated.
Begin Your Dental Care
Ongoing Care: Regular check-ups every 6 months, reminders sent, family appointments coordinated
THE TEAM
Our Friendly Team - Meet The Faces Behind Your Smile
Our dental team brings diverse training and experience to provide quality care, and they’re supported by our skilled dental assistants and administrative team, who help make your visit run smoothly.
Dr. Jeetash Kumar
Dr. Jeetash Kumar is the principal dentist, focusing on comprehensive dental care, including implant dentistry, cosmetic procedures, and endodontic treatment for patients throughout Fremantle.
Credentials
Dr. Pahul Gill
Dr. Pahul Gill provides high-quality dental care, focusing on listening to and understanding patients’ needs while offering personalised treatment options that make them comfortable.
Credentials
Dr. Edmund Ngan
General Dentist, AHPRA Reg. No. DEN0002602730
Dr. Edmund Ngan is experienced in general family dentistry and provides a thoughtful, patient-centred approach so that each patient receives tailored dental care.
Credentials
Dr. Preeti Ahlawat
General Dentist, AHPRA Reg. No. DEN0001851108
Dr. Preeti Ahlawat is a certified Invisalign provider with experience across multiple countries, offering cosmetic dentistry, orthodontic treatment, and supportive care for patients who feel anxious about dental visits.
Credentials
OUR LOCATIONS
Trusted Dental Clinics in
Fremantle, Floreat, and Wagin
Our clinics make it easy for you to get friendly, quality dental care. Find your nearest location below.
Fremantle
Our Fremantle clinic offers a welcoming space where you can access a full range of dental services in the heart of the port city. With extended weekday hours and weekend availability, we’ve made it easier to prioritise your oral health without disrupting your routine.
- Phone
- Address
- Opening Hours
Monday: 9:00 AM to 8:00 PM
Tuesday: 9:00 AM to 8:00 PM
Wednesday: 9:00 AM to 5:00 PM
Thursday: 9:00 AM to 8:00 PM
Friday: 9:00 AM to 8:00 PM
Saturday: 9:00 AM to 5:00 PM
Sunday: 9:00 AM to 6:00 PM
🎉 OPEN 7 DAYS A WEEK
Floreat
Our Floreat clinic provides the same standard of dental care in a comfortable, accessible setting. We’re here to support your dental health with convenient booking options and a team focused on making every visit comfortable. Whether you’re coming in for a routine check-up or addressing a specific concern, you’ll find a welcoming environment designed around your needs.
- Phone
- Opening Hours
Sunday: 10:00 AM – 3:00 PM
Monday: 9:00 AM – 5:00 PM
Tuesday: 9:00 AM – 5:00 PM
Wednesday: 9:00 AM – 5:00 PM
Thursday: 9:00 AM – 5:00 PM
Friday: 9:00 AM – 5:00 PM
Saturday: Closed
Wagin
On Point Dental provides quality dental care for patients throughout the rural Wagin area and surrounding regions. Our clinic offers comprehensive services in a welcoming environment, making quality dental care accessible to families and individuals who value treatment close to home. We’re here to support your oral health needs with convenient, reliable care.
- Phone
- Opening Hours
Sunday: Closed
Monday: 10:00 AM – 6:00 PM
Tuesday: 9:00 AM – 4:00 PM
Wednesday: 10:00 AM – 6:30 PM
Thursday: 9:00 AM – 6:30 PM
Friday: 9:00 AM – 4:00 PM
Saturday: Closed
Experience Comprehensive Dental Care from Our Dedicated Team in Fremantle
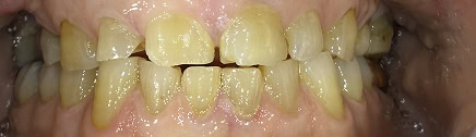
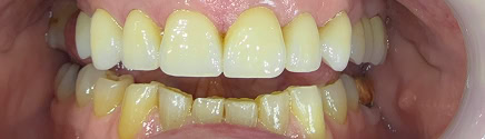
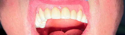
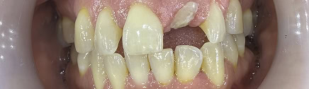
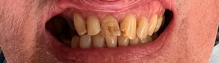
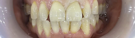
OUR SMILE GALLERY
Examples of Our Dental Work
These images show examples of dental treatments completed at our clinic, demonstrating the range of care we provide for our patients.
Disclaimer: Individual results may vary. Images used with written patient consent. The referenced procedure is the only visible change in each image pair. Any surgical or invasive procedure carries risks. Before proceeding, you should seek a second opinion from an appropriately qualified health practitioner.
THE ON POINT DENTAL DIFFERENCE
Our Standards of Care
We’re committed to providing dental care that’s accessible, comfortable, and tailored to your individual needs, with support at every step of your treatment journey.
Same-Day Appointments & FIFO-Friendly Care
Advanced Care with Comfort in Mind
Support for Anxious Patients
GALLERY
Reception Area, Treatment Area, Waiting Room
HEALTH FUNDS & PAYMENT OPTIONS
Quality Dental Care that Fits Your Budget
We work with major health funds and offer flexible payment options to help make dental care more accessible and manageable for our patients.
HBF Member Plus Preferred Provider
- Eligible HBF Member Plus members can receive reduced gap payments on many dental services.
- We process your health fund claim on the spot, and you’ll pay only the gap amount.
- Our team can check your cover and provide an estimate of your out-of-pocket costs before treatment begins.
- Being a preferred provider means we meet HBF's quality and service standards, giving you added security in your care.
NIB First Choice Preferred Provider
- NIB First Choice members may receive higher benefits and lower gap payments when they visit our clinic.
- We submit your claim directly to NIB, making the process straightforward and reducing paperwork for you.
- Our reception team can explain your NIB benefits and help you understand what's included in your cover.
- We're committed to transparent pricing, so you'll know your expected costs before we start any treatment.
Flexible Payment Plans Available
Fund My Dental
Zip Pay
Zip Pay
Zip Pay allows you to receive dental treatment now and pay in flexible instalments. Interest-free plans are available for eligible patients.
FAQ
Frequently Asked Questions
How do I make an appointment?
You can book an appointment by calling our clinic during business hours or using our online booking system on our website. Our reception team will help you find a convenient time and answer any questions about your upcoming visit.
If you need to see a dentist urgently, we may be able to arrange a same-day appointment. If you need to cancel your appointment, please let us know as soon as possible for the convenience of our staff and other patients.
What are your clinic hours?
We’re open seven days a week, including Sundays, to fit appointments around your schedule. Visit us Monday to Saturday from 9:00 am to 5:00 pm, or Sunday from 10:00 am to 6:00 pm. Whether you need a weekday appointment or prefer weekend visits, we’re here when you need us. Please note that hours may vary on public holidays.
What if I have a dental emergency?
If you’re experiencing a dental emergency, call our clinic immediately. We offer emergency dental services seven days a week and can often accommodate same-day appointments. When you call, our dental team will ask about your situation and provide guidance on managing your symptoms and preventing infection until we can see you.
Some dental emergencies can be managed at home initially, and our team will advise you on the appropriate next steps. Whether it’s a sudden toothache, broken tooth, or dental injury, we’re here to provide prompt, reliable care when you need it most, including on public holidays.
Is parking available?
Yes, ample free and paid street parking is available near our clinic in central Fremantle. We’re located in an accessible area with street parking and nearby car parks, making it convenient for you to reach us for your appointment.
What should I bring to my first appointment?
To help us provide you with the most appropriate care, please bring a few items to your first visit. Having this information ready helps us understand your health background and dental history, which allows us to tailor your treatment to your individual needs.
- Your current health fund card:
If you have private health cover, bring your membership card so we can process your claim on the spot and provide you with an accurate estimate of any out-of-pocket costs. This helps you understand your cover and reduces paperwork. - A list of medications you’re currently taking:
Include prescription medications, over-the-counter medicines, vitamins, and supplements. Some medications can affect dental treatment or interact with medications we may prescribe, so having a complete list helps us provide appropriate care. - Details of any relevant medical conditions:
Please let us know about conditions such as diabetes, heart disease, high blood pressure, allergies or any blood disorders. This information is important for planning your treatment so we can take any necessary precautions during your care. - Recent dental X-rays from your previous dentist:
If you’ve had X-rays taken within the past 12 months at another clinic, bringing copies can help us avoid unnecessary additional imaging. This saves you time and reduces your radiation exposure while still providing us with the diagnostic information we need. - A form of photo identification:
Bring your driver’s licence or another form of ID to help us verify your details and complete your patient records accurately.